|
|
|
|---|
Tuesday, March 29, 2011

Another knife misuse
A 16-year old boy was stabbed in the head by a knife last 2007. An unusual supermarket incident.

Poor Chinese Girl
X-ray of Luo Cuifen, a 29 year old Chinese girl who was discovered to have 23 sewing needles inside her body. Cuifen was complaining about blood in her urine last 2007 and when doctors did an x-ray on her, found out sewing needles floating and scattered in her body, piercing her kidneys, liver, lungs and other vital organs. There has been a speculation that the needles were inserted when she was still a baby, because some of the needles had already broken off to pieces. She said that her grandparents must have been the ones responsible for this because they were expecting a boy when she was born. This however will never be confirmed because her grandparents are both deceased.

Terrible nail gun accident
Construction worker, Isidro Mejia, fell from a roof, unfortunately falling on top another co-worker using a nail gun. 6 nails drove into Mejia’s head, penetrating his brain and the base of his skull. He survived the operation.


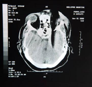
Comb stabbed in the skull
X-ray of Louis Pepe, when he was stabbed by comb in the skull last 2000. He lost his left eye and affected his right eye as well. The comb caused him much damage paralyzing his right arm and leg and his ability to speak. The attacker was sentenced 23 years imprisonment.

Lance Armstrong “screwed”
This is an x-ray image of Tour de-France champion Lance Armstrong’s collarbone. His bones were severely dislocated orthopedic surgeons had to “screw” him with 12-inch long screws. (March 009)

Korean man with a nail in the skull
A South Korean complained about a very bad headache and doctors discovered a rusty nail resting inside his head. Doctors say that the nail was embedded inside his skull four years earlier. That’s a looong, agonizing headache.

Steel Balls swallowed
8 year old girl from Indiana was rushed to the hospital after she accidentally swallowed steel balls and magnet from her toy set. She had immediate surgery, survived the operation after being hospitalized for 2 weeks.

Pierced by a fishing spear
Emerson de Oliveira Abreu encountered a very dreadful experience while diving off the coast of Rio de Janeiro when his brain was strucked with a 6-inch spear. Reports say, he himself owns the spear that pierced him, fired it towards the coral but bounced back striking his skul so deep. He was under the knife for 5 hours before he was surprisingly declared out of danger. Whew. (March 29, 2009).

Afghan Boy Stabbed
X-ray of a 10-year old Afghan boy stabbed deeply in the head as he was trying to protect his father from a customer who had gone berserk. He was saved and operated by the Britain’s Reserve Territorial Army and had survived the chilling incident.

Labels: Believe it or Not, Photos, X-Ray
0 Comments:
Subscribe to:
Post Comments (Atom)
